Лечение заболеваний роговой оболочки в Ростове-на-Дону

Заболевания роговой оболочки (роговицы) глаза могут быть воспалительными (кератиты), дистрофическими, связанными с травмами или опухолями.

Кератит — это распространенное воспалительное заболевание роговицы глаза, которое сопровождается ее помутнением и снижением зрительной функции. Ежегодно Всемирная организация здравоохранения фиксирует около 1 млн новых случаев этого заболевания.

 

Симптомы кератита роговой оболочки.

  • Резь и жжение в глазу, ощущение инородного тела, "песчинки";
  • Усиливается слезотечения, похожее на реакцию при попадании инородного тела;
  • Сильная светобоязнь: даже слабый свет вызывает болезненные ощущения;
  • Выраженное покраснение глаза, особенно заметное вокруг роговицы.
  • Помутнение роговицы в виде беловатого или серого пятна. Если это пятно желтого цвета- кератит обусловлен гнойной инфекцией, что наиболее опасно!
  • При кератите также могут появиться выделения: гнойные — при бактериальной инфекции, прозрачные или слизистые — при вирусной форме. Иногда роговица теряет чувствительность. Такое чаще встречается при герпетической инфекции и нейроторофическом кератите, затрудняя диагностику и увеличивая риск осложнений.

Основные факторы риска включают:

  • Травмы глаза, особенно связанные с использованием контактных линз.
  • Нарушение гигиены рук и ухода за глазами.
  • Наличие хронических инфекций, таких как герпетическая инфекция, ВИЧ-инфекция, туберкулез, сифилис.
  • Воздействие химических агентов и ультрафиолетового излучения.
  • Иммунодефицитные состояния и прием иммуносупрессивных препаратов.

Кроме того, риск развития кератита увеличивается с возрастом, поскольку защитные функции роговицы ослабляются, а вероятность сопутствующих заболеваний возрастает.

Возбудителями кератита могут выступать различные микроорганизмы, включая бактерии, грибы, вирусы и паразиты.

Виды кератита. Дифференциальная диагностика разновидностей кератита.

Правильная постановка диагноза требует исключения других патологий, имеющих сходные симптомы. Вот некоторые ключевые моменты дифференциальной диагностики:

Герпетический кератит.

Отличительными признаками герпетического кератита являются пузырьковые высыпания вокруг глаз, ветвистость язвочек на роговице и медленное течение заболевания. Подтверждение диагноза достигается путем проведения ПЦР-исследования соскоба с конъюнктивы

Аллергический кератит.

Аллергическая природа подтверждается наличием сопутствующего ринита, астмы или атопического дерматита. Важную роль играет исключение контакта с аллергеном и назначение антигистаминных средств.

Травматический кератит.

Возникает вследствие механических повреждений роговицы. Характеризуется резкой болью, светобоязнью и выраженным слезотечением. Важно исключить инородные тела и назначить соответствующее лечение.

Нейротрофический кератит. Данный вид кератита занимает особое место по сложности диагностики и лечения среди всех заболеваний роговой оболочки.

 

 

Нейропаралитический кератит. Симптомы, диагностика лечение. 

Нейропаралитический кератит, также известный как нейротрофический кератит, — это редкое заболевание роговицы, возникающее вследствие повреждения нервных волокон, обеспечивающих её чувствительность. Оно связано с нарушением иннервации роговицы, приводящим к нарушению защитных механизмов и развитию дистрофических изменений. Данное заболевание требует комплексного подхода к диагностике и лечению, поскольку оно может приводить к серьёзным последствиям, включая потерю зрения.

Нейропаралитический кератит остаётся актуальной проблемой современной офтальмологии благодаря своей сложности и потенциальной опасности осложнений. Несмотря на значительные успехи в понимании патофизиологических механизмов и разработке новых терапевтических подходов, многие аспекты этой болезни остаются недостаточно изученными. Понимание особенностей нейропаралитического кератита дает нам возможность оказывать помощь таким пациентам.

Причины развития нейропаралитического кератита.

Основной причиной возникновения нейропаралитического кератита является повреждение первой ветви тройничного нерва или самого тройничного нерва в области гассерова ганглия. Повреждение этих структур приводит к утрате чувствительности роговицы, что нарушает защитные механизмы глаза и способствует возникновению воспалительных и дистрофических изменений. Среди факторов риска выделяют:

Травмы головы и лица. Операции на головном мозге и лице. Инфекционные заболевания нервной системы. Герпетическую инфекцию. Сахарный диабет. Неврологические расстройства.

Нарушение иннервации вызывает изменение метаболизма клеток роговицы, ухудшение трофики тканей и повышение восприимчивости к внешним воздействиям. Кроме того, потеря чувствительности снижает способность пациента своевременно реагировать на раздражение и травму роговицы, увеличивая вероятность развития повреждений и инфекций.

Клинические проявления нейропаралитического кератита.

Основные признаки нейропаралитического кератита включают:

Резкое снижение или полное исчезновение чувствительности роговицы. Отсутствие симптомов раздражения глаза, таких как слезотечение, светобоязнь и блефароспазм. Появление дефектов эпителия роговицы, начиная с мелких эрозий и заканчивая глубокими язвами. Помутнение роговицы и формирование бельма. Возможное появление боли в глазу, связанной с раздражением окружающих тканей.

Развитие нейропаралитического кератита проходит несколько стадий:

Начальная стадия: снижение чувствительности роговицы. Стадия прогрессирования: появление эрозий и язв роговицы. Терминальная стадия: формирование бельма и значительное снижение остроты зрения.

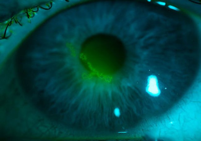
Нейропаралитический кератит.

До/после лечения в клинике Доктор Нобель.

Пациентка обраьтлась с нейропараоитическим кератитом. Тяжёлое течение на фоне поражения тройничного нерва герпетической инфекцией. В нескольких клиниках сказали, что шансов на восстановление роговицы нет.

В нашем центре за 2 недели удалось добиться полного восстановления целостности роговицы.

На фото - язва роговицы, окрашенная флуорисцином в первый день и через 2 недели.

Записаться на прием в нашу клинику

Нажимая на кнопку "Записаться", вы даёте согласие на обработку персональных данных

Методы лечения кератитов в клинике Доктор Нобель.

Патогенетическая терапия.

Патогенетическая терапия нацелена на коррекцию механизмов повреждения роговицы и поддержание её нормального функционирования. Включает следующие направления:

Применение искусственных слёз.

Использование препаратов, имитирующих естественную слезу, способствует увлажнению роговицы и защите её от высыхания.

Назначение кератопротекторов. Средства, защищающие роговицу от внешних воздействий и ускоряющие процессы восстановления, такие как декспантенол, хондроитинсульфат и гипромеллоза.

Этиотропная терапия, направленная на подавление возбудителя, вызвавшего кератит, а так же с целью профилактики вторичной инфекции.

Применение препаратов, стимулирующих специфические факторы регенерации роговицы, а так же направленных на восстановление чувствительной функции роговицы.

Одним из современных направлений лечения заболеваний роговой оболочки, применяемым в нашей клинике является использование аутоплазмы пациента в сочетании с препаратами, стимулирующими регенерацию собственных тканей роговицы, в результате чего удается добиться ускоренной эпителизации дефектов с максимально возможным сохранением одной из важнейших функций её функций – оптической.

При несвоевременном обращении пациента к врачу-офтальмологу могут возникнуть осложнения в виде язвы роговой оболочки и её перфорации. В таком случе может понадобиться хирургическое лечение.

Хирургическое лечение.

В некоторых ситуациях консервативная терапия оказывается недостаточно эффективной, и возникает необходимость хирургического вмешательства.

Основными показаниями к операции являются:

  • Глубокая язва роговицы с угрозой перфорации.
  • Образование стойких дефектов роговицы, ведущих к значительным нарушениям зрения.
  • Невозможность восстановления прозрачности роговицы другими методами.

 

 

Записаться на прием в нашу клинику

Нажимая на кнопку "Записаться", вы даёте согласие на обработку персональных данных
Все материалы в данном разделе размещены на основании ст. 79 п. 6 ФЗ №323 от 21.11.2011г. "Об основах охраны здоровья граждан в Российской Федерации" и носят исключительно справочно-информационный и ознакомительный характер. Не являются рекламой.